3个变4个…肺结节数量增多还继续观察吗?要不要赶紧切掉?
发布时间:2021-12-10 编译:盛诺一家
近年来,由于健康意识的提高,定期使用胸部CT筛查肺癌已经成了很多人守护自身健康的必选项。但随之而来的,是越来越多的人被检出肺结节。
通常来说,查出1枚肺结节就足以令人心烦意乱,但比这个更糟心的,是查出了双肺多发肺结节。因为这会导致结节的性质判定以及未来可能的手术变得更为复杂。

来源:摄图网
今天我们要分享的,正是一位双肺多发结节患者的案例。
一、患者基本情况
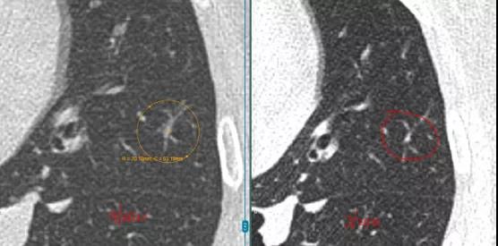
大约4年前,孙女士在体检中检出了双肺多发结节,共计3枚。它们分别是:
左肺下叶2枚实性结节,大小为5mm和3mm
右肺上叶1枚磨玻璃结节,大小为4mm
在医生的建议下,孙女士开始了定期随访。4年间,这3枚结节大小都没有明显变化。
到了今年3月份,孙女士复查发现,虽然3枚结节大小稳定,但右肺上叶的4mm结节,却有了一些密度增高,这似乎不是什么好兆头。
不仅如此,原本干干净净的左肺上叶,也新添了1枚3mm的磨玻璃结节。
就这样一直随访了半年左右,4枚结节仍然一直存在,并没有明显增大。但孙女士心里的担忧却与日剧增。
虽说结节都很小,且尚未明显恶变,但对于患者本人来说,它们始终都是像4把悬在头顶的利刃。国内医生表示,这些结节生长极为缓慢,只要继续随访就好,大了再切也不迟。
至于这4个结节中谁是“良好市民”,谁又可能是“定时炸弹”,孙女士始终没能得到答案。

来源:摄图网
在这样的情况下,孙女士通过盛诺一家,预约到了美国哈佛大学医学院某附属医院的胸部肿瘤科主任L教授,以远程会诊的形式为自己提供咨询服务。
二、专家答疑解惑
在仔细查阅、对比了孙女士提供的既往影像资料后,L教授很快给出了指导意见。
1.根据影像资料,哪些结节应重点关注?
L教授:根据对患者病史和影像资料分析,其右肺上叶4mm磨玻璃结节与近期CT结果对比显示4年间大小未见明显改变,但该结节的密度稍微增高。

患者左肺下叶2枚结节大小也未见改变。由于它们均为实性结节,且稳定时间已经持续了3年以上,良性可能性大于99%;另外患者舌叶部位可见线状影,较前稳定,这也符合炎性瘢痕特征。

今年春天患者左肺上叶新出现的磨玻璃结节,影像上可以看到非常浅淡,对比近一次的检查来看,半年期间保持稳定,没有变大。

综上,我认为应重点监测的应该是右肺上叶4mm磨玻璃结节以及左肺上叶3mm磨玻璃结节。其中,4mm结节可能为惰性原发肺癌或炎性瘢痕,3mm浅淡结节可能惰性原发肺癌或炎症,但这些目前无法百分百确定,仍需继续随访观察。
2.结节的变化是否预示恶变倾向?
L教授:虽然患者右肺上叶4mm结节密度有所增加,但程度非常小,所以尚不能做出确定的判断,仍需仔细监测;左肺下叶两枚结节由于属于实性结节,且超过2年都没有变化,故良性可能性非常高;左肺上叶浅淡结节为新增结节,性质不明,但该结节为恶性的可能性非常低。
3.您对定期随访有什么建议?是否需要活检/手术?
L教授:我建议每12个月复查一次薄层胸部CT平扫即可。目前由于结节还很小,不建议进行活检或手术。
4.患者生活中有什么注意事项?有没有非手术的肺结节治疗方式?
L教授:目前患者所有检出的肺结节,大小都不足以引起任何临床症状。即便未来右肺上叶4mm结节继续增大,短期内也不会有症状。
患者在生活中,应尽量避免二手烟。饮食上百无禁忌,因为没有任何饮食上的调整,能够影响到肺结节性质发生改变。

来源:摄图网
如果未来右肺上叶结节继续增大且被证实需要治疗,那么除了手术外,立体定向放疗或经皮热消融术也可以作为备选治疗。
三、小结
在本案例中我们可以看到,虽然都被称为肺结节,但L教授对孙女士的4枚结节却分别进行了仔细的评估和分析,得到的结果各有不同。
在现实中,肺结节作为一种常见病,已经广泛出现在人们身上。由于种种原因,不少人会在检出肺结节后,因过度恐慌,轻易选择了手术切除。
结节虽小,但相关手术治疗却依然会给肺部带来不可逆转的永久性损伤,肺功能也会随之降低。因此,建议大家能像本案例中的孙女士一样,尽可能借助权威专家帮自己明确结节性质以及正确应对方式,实现精准诊疗。

来源:摄图网
如果您身边也有人正在为肺结节或其他问题而烦恼,希望获得国际专家的远程会诊服务,不耽误病情又不过度治疗,那么请及时联系我们,了解更多服务详情吧。
【盛诺一家】 成立于2011年,是国内权威的海外医疗咨询服务机构,提供出国看病、全球专家远程咨询、日本体检等服务。
海外医疗为什么首选盛诺一家?
- 稳健运营
深耕行业15年:实缴注册资本3,970万元,获红杉资本、中信里昂、腾讯等多轮注资。 - 权威认证
顶级医院直签:与美国MD安德森、梅奥诊所、日本癌研有明、英国皇家马斯登等近50家医院官方直签合作。
官方认证 合规运营:唯一同时获日本MEJ AMTAC资质与外务省“身元保证机构”授权的中国机构。 - 专业服务
全球就医:覆盖中、美、英、日1000家医院网络,不局限于单一国家医疗资源、规划最优就医路径
专业可靠:服务团队成员70%拥有医学背景,包括医学院博士、三甲医院医生、资深医学翻译。
智能匹配:自主研发专利“全球医疗资源匹配模型”,精准推荐医院与医生。
全流程个体化服务:从病历翻译、签证辅助、就医预约到境外陪同、生活支持全面覆盖。
全球服务网络:在中、美、英、日等地设有15个全资分公司与服务中心,提供落地保障。 - 客户至上
提供5%-40%医疗费用专属折扣,签约48小时可全额退款,出具风险告知,倡导理性就医。 - 良好口碑
合作企业:为华为、中国人寿、民生银行等知名企业提供海外医疗咨询服务。
媒体报道:多次获人民日报、CCTV、新华社报道,被人民网评为“出国看病机构第一名”。
客户信赖:盛诺一家已服务近10000+重症患者家庭,60%客户通过老客户推荐,满意度高达99%。
👉 如果您或家人面临重大疾病决策,想了解海外就医方案?
✅ 请拨打免费咨询热线
400-875-6700,或通过
官方网站
预约咨询医学顾问,获取专业建议,开启全球精准医疗之路。
特别提示:为保护用户隐私和数据安全,本文对重要内容和图片进行了隐私保护处理。本文经用户授权发布,版权归属盛诺一家和用户本人所有。本案例未经盛诺一家授权严禁转载或用作其他商业用途!
- 相关案例
- 最新案例
红杉资本(中国)被投企业

咨询医学顾问——免费获取全球医疗评估方案!
提交成功!

出国看病费用评估