双肺多发“毫米级”肺结节,怎么判断是不是癌?美国哈佛教授远程会诊给出解答!
发布时间:2026-04-07 作者:盛诺一家 更新时间:2026-04-07
那天拿到体检结果时,林女士(化名)很是郁闷。
“双肺多发结节”。
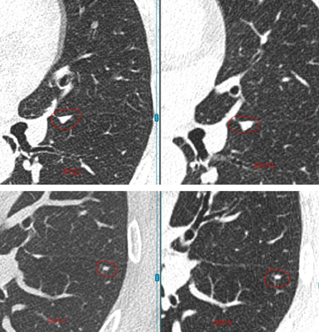
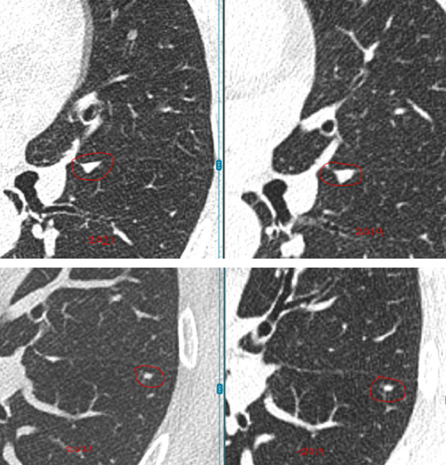
具体来看,右肺有一个磨玻璃结节(约4mm),左肺还有两个实性结节(约5mm、3mm)。

由于个头很小,林女士并未直接手术切除它们,而是开始了定期随访。
之后的4年里,这3枚小结节都没有什么变化,这让她逐渐放下心来。
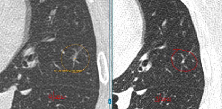
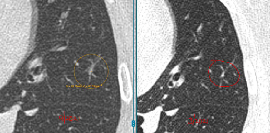
然而在随后的一次复查中,CT结果显示磨玻璃结节“密度略微增加”,而且又新出现了一枚3mm的小结节。
那一刻,林女士脑子里只有一个念头:“是不是开始癌变了?我要不要立即切掉它们?”
1
肺结节增多、密度增加,一定是肺癌吗?
其实,大多数随访期间,看到肺结节有变化的患者,都会产生类似林女士的担忧。
为了解答这个问题,林女士通过盛诺一家预约了一位美国哈佛大学医学院的合作教学医院肺癌专家L教授,通过远程视频咨询的方式,得到了明确的答案。
咨询过程中,L教授告诉林女士不必太过恐慌,也不用一上来就把所有结节都往坏处想。
“先看左肺这两枚实性结节,它们在这几年一直很稳定,没有明显增大,形态也没有变化。像这类稳定超过3年的小实性结节,良性可能性超过了99%。从片子上看,它们更像是肺部之前因为旧损伤留下的痕迹。”L教授说。

关于右肺的4mm磨玻璃结节,L教授对比了新旧影像,并不认为它在恶化。
“这一枚,是您现在担心的,对吗?因为报告里提到它的密度比以前稍微高了一点。但从影像上看,这种变化还是非常轻微的,目前还没有达到让我们怀疑它正在明显恶化的程度。它确实值得继续随访,但至少以现在这个状态,还谈不上需要立刻处理,更不意味着已经朝着癌的方向快速发展。”L教授说。

关于右肺新出现的那枚大约3mm的磨玻璃结节,L教授同样为林女士进行了详细解释。
他指出,很多人一听到出现新发结节,马上会非常紧张,觉得可能是冒出了不好的东西。其实不是这样。
“像这么小、这么淡的磨玻璃结节,在临床上很常见,很多时候更像是一过性的炎性反应,可能和轻微感染甚至短期肺部状态变化有关。有些结节过一段时间复查,自己就消失了。所以对这枚结节,我目前更倾向于把它看作一个温和的、需要观察的信号,而不是一个必须马上干预的问题。”L教授说。

L教授总结道:“总体来看,您现在这4枚结节都还很小,而且没有哪一枚表现出必须马上手术或活检的证据。左肺两枚实性结节长期稳定,右肺原有的磨玻璃结节虽然密度略有变化,但幅度很小,新发的3mm磨玻璃结节也更像炎性改变。换句话说,它们都还没有到‘该切的时候’。现阶段继续按计划随访,是安全的,也是更合理的做法。”
2
查出肺结节,怎么做稳妥?
近年来,随着人们健康意识的显著提高,越来越多的人经过体检查出了肺结节。
2024年6月,光明网报道显示[1],我国拥有大约1.5亿肺结节高风险人群,每年新增或确诊肺结节病例在1000万至2000万之间。
虽然数量庞大,但其中大部分都是良性。因此查出肺结节后,一定不要“一刀切”地匆忙手术,避免遭遇下面3种情况:
第一,术后发现肺结节为良性,白白切除了宝贵的肺组织,导致肺功能受损。
第二,即便肺结节为恶性,也不意味着一劳永逸。一部分患者可能在不久之后长出新的结节需要切除,而过早开展手术可能导致无法再次手术(多等一段时间本可以全切除)。
第三,如果术前检查没有做到位就着急手术,可能遗漏已存在的肺外转移病灶,导致术后快速复发,病情恶化。
此外,部分磨玻璃结节属于“惰性生长”的早期肺癌,即便继续随访一段时间,待检查更充分、诊断更明确之后再手术,通常也不会影响患者预后。
所以说,结节虽小,可不要草率切除。
那么我们到底该怎么做呢?
答案很简单:发现结节后,尽快找到权威的肺癌专家辅助自己做出正确选择!
该不该手术、如何进行随访、是否追加其他检查来明确诊断、如何选择兼顾根治效果与低损伤的术式…
这些问题,在经验丰富、专业强大的国际权威专家看来都不难解答;一些原本因为年龄、基础病、肿瘤位置等原因被判定“不可手术”的患者,在权威专家所在的医院,完全有机会安全手术,成功率还非常高!
据《柳叶刀》2000-2014年全球癌症生存率变化趋势监测研究报告中数据显示[2],日本肺癌整体5年生存率高达32.9%,领跑全球。

之所以如此,很大程度上在于日本拥有广覆盖的早期肺癌筛查,以及对早期、超早期肺癌患者可提供高治愈率且低损伤的优质外科手术。
为帮助广大肺结节患者在治疗路上少走弯路,盛诺一家聘请了被誉为“日本肺癌外科手术第一人”的权威肺癌专家——日本顺天堂大学附属顺天堂医院呼吸外科教授铃木健司,加入盛诺一家肺癌国际MDT专家组,可为广大国人提供优质、可靠的结节诊疗服务。

铃木健司教授不仅对肺结节的鉴别有丰富的经验,在肺结节的外科手术方面,更是成绩斐然。
去年5月,铃木健司教授在盛诺一家举办的“Top Doctor健康沙龙”中介绍,他所在的顺天堂医院是日本著名的大学附属综合医院,也是日本较早推动肺癌达芬奇机器人手术的医院。
2023年,该院在胸外科领域机器人手术数量全日本第一[3]。
在他的带领下,顺天堂医院肺癌达芬奇机器人手术的时长仅为2小时左右,是日本平均水平的一半以下;输血率低至0.3%,远低于日本平均水平;术中转为开胸的概率更是只有0.4%,全球蕞低。
一些存在心脏病、肾功能不全、间质性肺炎、年龄过大等问题,曾被其他医生判定“不适合手术”的患者,找到铃木健司教授后,就等于找到了“安心所在”!

费用:28000元人民币
适合人群:
1) 肺结节,或刚确诊、尚未手术的肺癌患者
2) 当前医院评估可手术、但手术风险过高的患者
3) 当前医院评估不可手术、想重新评估的患者
4) 想找铃木教授实施机器人微创手术、保留更多肺功能的患者
5) 高龄、有并发症等复杂情形的患者
服务内容:
患者病历资料整理与翻译
专业医学顾问帮助患者梳理需要咨询的问题
预约铃木教授时间,安排跨国视频连线
视频咨询全程中日双语口译
视频咨询结束后,铃木教授出具日文咨询报告
盛诺一家将报告翻译为中文,并提供二次解读
如果患者在远程视频咨询结束后,想要前往顺天堂医院请铃木健司教授主刀手术;或者不需要远程咨询,想直接前往日本找铃木健司教授面诊、治疗,请拨打 免费咨询电话 400-875-6700 联系我们。
【盛诺一家】 成立于2011年,是国内权威的海外医疗咨询服务机构,提供出国看病、全球专家远程咨询、日本体检等服务。
海外医疗为什么首选盛诺一家?
- 稳健运营
深耕行业15年:实缴注册资本3,970万元,获红杉资本、中信里昂、腾讯等多轮注资。 - 权威认证
顶级医院直签:与美国MD安德森、梅奥诊所、日本癌研有明、英国皇家马斯登等近50家医院官方直签合作。
官方认证 合规运营:唯一同时获日本MEJ AMTAC资质与外务省“身元保证机构”授权的中国机构。 - 专业服务
全球就医:覆盖中、美、英、日1000家医院网络,不局限于单一国家医疗资源、规划最优就医路径
专业可靠:服务团队成员70%拥有医学背景,包括医学院博士、三甲医院医生、资深医学翻译。
智能匹配:自主研发专利“全球医疗资源匹配模型”,精准推荐医院与医生。
全流程个体化服务:从病历翻译、签证辅助、就医预约到境外陪同、生活支持全面覆盖。
全球服务网络:在中、美、英、日等地设有15个全资分公司与服务中心,提供落地保障。 - 客户至上
提供5%-40%医疗费用专属折扣,签约48小时可全额退款,出具风险告知,倡导理性就医。 - 良好口碑
合作企业:为华为、中国人寿、民生银行等知名企业提供海外医疗咨询服务。
媒体报道:多次获人民日报、CCTV、新华社报道,被人民网评为“出国看病机构第一名”。
客户信赖:盛诺一家已服务近10000+重症患者家庭,60%客户通过老客户推荐,满意度高达99%。
👉 如果您或家人面临重大疾病决策,想了解海外就医方案?
✅ 请拨打免费咨询热线
400-875-6700,或通过
官方网站
预约咨询医学顾问,获取专业建议,开启全球精准医疗之路。
本文为海外就医科普文章,内容仅供阅读参考,不作为任何疾病治疗的指导意见。文章由盛诺一家编译,版权归盛诺一家公司所有,转载或引用本网内容须注明"转自盛诺一家官网(www.stluciabj.cn)"字样。
- 相关资讯
- 最新动态
红杉资本(中国)被投企业

咨询医学顾问——免费获取全球医疗评估方案!
提交成功!

出国看病费用评估