美国FDA授予突破性疗法认定!新药RMC-9805(Zoldonrasib)治疗KRAS G12D突变肺癌疗效显著
发布时间:2026-04-21 作者:盛诺一家 更新时间:2026-04-21
摘要
2026年4月19日,美国Revolution Medicines公司公布了新药Zoldonrasib(又名RMC-9805)在1期RMC-9805-001临床试验中的更新数据结果,在既往接受过治疗的KRAS G12D非小细胞肺癌(NSCLC)患者中,该药展现出积极的抗肿瘤活性,并且安全性良好。
RMC-9805是一款口服RAS(ON)G12D选择性抑制剂。
相关结果已在美国癌症研究协会(AACR)年会官方新闻发布项目中亮相,并将于接下来的大会上进行口头报告。

来源:ChatGPT生成AI示意图
试验详情及疗效数据
RMC-9805-001是一项多中心、开放标签的1期临床试验,包含剂量递增和剂量扩展阶段,旨在评估RMC-9805在携带KRAS G12D突变的晚期实体瘤患者中的疗效和安全性。
本次在美国癌症研究协会(AACR)年会上展示的数据截止至2025年12月1日,包括40例接受每日1200mg(推荐2期剂量)治疗的KRAS G12D非小细胞肺癌(NSCLC)患者,均可评估安全性。
在疗效分析中,纳入了一部分既往接受过免疫检查点抑制剂和含铂化疗、未接受多西他赛(化疗药)治疗且有足够随访时间用于疗效评估的患者(共27名)。
✅安全性结果
RMC-9805整体耐受性良好,其安全性特征与既往报告一致。
至少15%的患者中出现的任何级别治疗相关不良事件包括:恶心(发生率43%)、呕吐(33%)、腹泻(30%)和皮疹(18%)。
大多数不良事件为1级(轻微)。
13%的患者出现3级(严重)不良事件,在暂停给药后得到缓解。
5%的患者因不良事件停药。
未观察到4级(危及生命)或5级(死亡)治疗相关不良事件。
RMC-9805的平均给药强度为94%,表现良好。
✅疗效数据
在既往接受过免疫检查点抑制剂和含铂化疗、未接受多西他赛治疗的KRAS G12D非小细胞肺癌(NSCLC)患者中,RMC-9805展现出令人鼓舞的临床活性。
在该患者亚组中(共27名):
经确认的客观缓解率为52%,意味着有52%的患者肿瘤显著缩小或完全消失。
疾病控制率为93%。
中位起效时间为1.4个月,意思是一般在用药后大约1.4个月,就能看到肿瘤开始出现反应。
中位缓解持续时间(DOR)尚未达到,意味着超过半数缓解患者在随访时仍维持疗效。
中位无进展生存期(PFS)为11.1个月,意味着一半患者在11.1个月内病情没有恶化。
预计12个月PFS率为48%,意味着接受治疗后12个月时,有48%的患者病情没有进展或恶化。
在分析时,总生存期(OS)数据尚不成熟,中位总生存期(OS)尚未达到,意味着多数患者仍然存活,疗效持续观察中。
中位随访时间为13.1个月(意思是一半患者被跟踪观察了至少13.1个月)。预计12个月生存率为73%,提示早期生存结果令人鼓舞。
专家评论
“RAS G12D非小细胞肺癌(NSCLC)患者仍然属于一个在靶向治疗方面存在巨大未满足需求的人群。这项1期试验显示出较好的安全性,同时也观察到了初步的疗效信号,令人鼓舞,支持RMC-9805的进一步临床开发。”美国加州大学戴维斯综合癌症中心胸部肿瘤医学主任、RMC-9805-001试验主要研究者Jonathan Riess医学博士表示。
开发者总结
“我们认为,这些更新数据进一步强化了RMC-9805作为一种潜在重要靶向疗法的定位,适用于RAS G12D非小细胞肺癌(NSCLC)患者,而传统治疗(如化疗)往往疗效有限且毒性较大。目前显现的整体表现支持将RMC-9805推进至单药及联合治疗的进一步研究,用于肺癌及其他RAS G12D驱动的癌症。”Revolution Medicines公司首席开发官Alan Sandler表示。
关于非小细胞肺癌(NSCLC)

非小细胞肺癌(NSCLC)占所有肺癌的80%-85%,美国每年新诊断病例超过229000例。尽管治疗不断进步,NSCLC仍是全球癌症相关死亡的主要原因之一,主要由于诊断时多为晚期以及对传统治疗反应有限。
KRAS G12D是人类癌症中常见的致癌驱动因素之一,在NSCLC中约占4%。
关于RMC-9805
RMC-9805是一款口服RAS(ON)G12D选择性抑制剂。
KRAS G12D是常见的RAS突变,占所有RAS相关癌症的29%,目前尚无获批的靶向治疗。在美国,每年预计约有61000例新发RAS G12D相关癌症患者。
RMC-9805是一种三元复合体抑制剂,通过与环孢素A结合形成复合体,从而选择性识别并抑制活性的致癌RAS G12D(ON)突变。简单来说,RMC-9805可以先“拉上一个帮手”(环孢素A),一起组成一个组合,然后专门去盯住并关掉一种特定的癌症开关(RAS G12D突变),让癌细胞失去生长动力。
2026年1月8日,美国食品药品监督管理局(FDA)已授予RMC-9805突破性疗法认定,用于治疗既往接受过PD-1/PD-L1抑制剂治疗和含铂化疗的KRAS G12D突变型局部晚期或转移性非小细胞肺癌(NSCLC)成人患者。
目前RMC-9805正在以单药以及联合其他疗法的方式进行评估,包括与Revolution Medicines公司的RAS(ON)多选择性抑制剂Daraxonrasib(又名RMC-6236)联合使用,以及与标准治疗方案联合用于肺癌和胃肠道肿瘤。
Revolution Medicines公司目前正在开发多款RAS(ON)抑制剂,包Daraxonrasib(又名RMC-6236),一种多选择性抑制剂;Zoldonrasib(又名RMC-9805),一种G12D选择性抑制剂;以及RMC-5127,一种G12V选择性抑制剂。
此外,Revolution Medicines公司的管线还包括其他RAS(ON)突变选择性抑制剂开发项目,如RMC-0708(针对KRAS Q61H突变)和RMC-8839(针对KRAS G13C突变)。
患者用药实例
RMC-9805后,人生“按下重启键”
36岁的Margaret(化名)确诊肺癌后,接受了手术治疗。本以为可以松一口气,但没过多久,癌症再次卷土重来,并扩散到了另一侧肺部。最终,她被诊断为四期肺癌(晚期)。
命运并没有给她太多缓冲的时间。进一步的基因检测显示,她的肿瘤携带的是KRAS G12D突变。这一类型,在临床上一直被认为是“难对付的对手”——常规的化疗、免疫治疗,往往效果都不理想。
Margaret也经历了这一切。放疗、化疗、免疫治疗……一轮轮尝试下来,病情依旧没有得到有效控制。
就在几乎无路可走的时候,她做了一个决定——前往美国纪念斯隆凯特琳癌症中心(MSK),尝试一项正在进行中的新药临床试验:RMC-9805。
变化,来得比她想象中更快:
用药仅仅几天,她就感觉到身体在“回暖”。原本需要依赖吸氧的她,在第5天就可以脱离氧气支持,困扰已久的咳嗽也明显缓解。
几周之后,她已经可以和丈夫一起出门散步,甚至重新走进健身房。
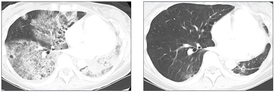
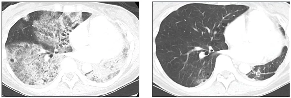
而影像学的变化,更让人震惊——在接受治疗约一年后(截至2025年4月报道),她体内的肿瘤缩小了87%,并且仍在持续缩小。从影像上看,原本大片模糊的病灶,如今明显“退场”。

治疗前后肺部影像对比:左为治疗前,右为治疗后
(来源:MSK官网)
Margaret说,有一段时间,她甚至几乎忘了自己是一名癌症患者。
如今,她不仅恢复了日常生活,还重新回到了工作岗位,和丈夫一起,重新规划旅行,重新拥抱生活。

Margaret与丈夫David旅行(来源:MSK官网)
RMC-9805在胰腺癌中,同样展现出突破潜力
RMC-9805的研发目标,是精准打击一种长期“难以攻克”的突变——KRAS G12D。这种突变不仅存在于肺癌中,在胰腺癌、结直肠癌等多种实体瘤中同样常见,尤其是在胰腺导管腺癌(PDAC)中,占比非常高。也正因为如此,胰腺癌成为RMC-9805重要的探索方向之一。
在正在进行的1期RMC-9805-001研究中,RMC-9805在携带KRAS G12D突变的胰腺癌患者中,已经观察到明确的抗肿瘤活性,同时整体耐受性也在可控范围内。
盛诺一家曾协助一位国内晚期胰腺癌患者,前往美国MD安德森癌症中心,通过参与临床试验用上了RMC-9805。在接受治疗后,患者的病情得到明显控制,整体状态逐步改善,生活质量也有了显著提升。
如果您你想了解这位患者的完整治疗过程和决策路径,可以点击跳转查看详细案例:
《晚期胰腺癌的他,花费10万美金赴美参加临床试验,如今回归正常生活!》
国内患者有机会通过临床试验用上RMC-9805
目前,RMC-9805仍处于临床研究阶段,尚未上市。对于国内患者而言,参与临床试验是获取该药的主要途径之一。
经查询,RMC-9805面向肺癌患者的临床试验,开展地点包括美国、澳大利亚、德国、丹麦、法国、西班牙、意大利、希腊、荷兰以及中国台湾地区。而面向胰腺癌患者的相关临床试验,目前主要集中在美国。
对于有意申请参与RMC-9805临床试验的肺癌或胰腺癌患者,请拨打 免费咨询电话 400-875-6700 联系我们。盛诺一家已与美国多家知名医院建立合作关系,可协助患者完成初步评估,判断是否符合RMC-9805相关临床试验的入组标准。在匹配成功后,还可提供包括就医安排、临床试验对接在内的全流程支持服务。
资料来源:
[1]https://ir.revmed.com/news-releases/news-release-details/revolution-medicines-present-updated-phase-1-clinical-data
[2]https://ir.revmed.com/news-releases/news-release-details/revolution-medicines-announces-fda-breakthrough-therapy-1
[3]https://www.targetedonc.com/view/zoldonrasib-shows-promise-in-kras-g12d-mutated-pdac
[4]https://www.mskcc.org/news/potential-new-treatment-for-kras-gi2d-lung-cancer-reported-in-first-of-its-kind-clinical-trial
[5]https://clinicaltrials.gov/study/NCT06162221?utm_source=chatgpt.com
[6]https://clinicaltrials.gov/study/NCT06040541?utm_source=chatgpt.com
【盛诺一家】成立于2011年,是国内领先的海外医疗咨询服务机构,至今已为近10000个患者家庭提供出国就医服务,重点涵盖癌症、心脏病、罕见疾病等重疾领域。凭借专业、贴心、高效的服务,盛诺一家赢得了99%客户好评率!
📌为什么出国就医患者首选盛诺一家?
- 官方资质:与美国、日本、英国近50家TOP级医院签署官方合作协议,搭建全球医疗服务网络
- 专业可靠:咨询服务团队成员70%拥有医学背景,包括医学院博士、三甲医院医生、资深医学翻译
- 一站式服务:在全球设有15个客户服务中心,保障从国内到海外全流程、高品质的服务质量
- 客户至上:推出48小时冷静期、风险告知书、医疗费用“零加成”等措施,保障客户权益
- 专属折扣:通过本公司预约出国就医的患者,可额外申请5%–40%的医疗费用减免折扣
👉如果您或者家人需要出国看病,可拨打免费咨询热线 400-875-6700,或通过 盛诺一家官网 预约咨询!
本文为海外就医科普文章,内容仅供阅读参考,不作为任何疾病治疗的指导意见。文章由盛诺一家编译,版权归盛诺一家公司所有,转载或引用本网内容须注明"转自盛诺一家官网(www.stluciabj.cn)"字样。
- 相关资讯
- 最新动态
红杉资本(中国)被投企业

咨询医学顾问——免费获取全球医疗评估方案!
提交成功!

出国看病费用评估