美国MD安德森癌症中心:新治疗策略让肝内胆管癌患者生存期直接翻倍!
发布时间:2026-04-07 作者:盛诺一家 更新时间:2026-04-07
近日,一项来自美国MD安德森癌症中心的新研究发现,对于体积巨大的胆管癌肿瘤,以前医生往往不敢用放疗。
但现在,一种更精准的高剂量放疗方式不仅可以安全使用,还能让患者生存期延长一倍以上!

1
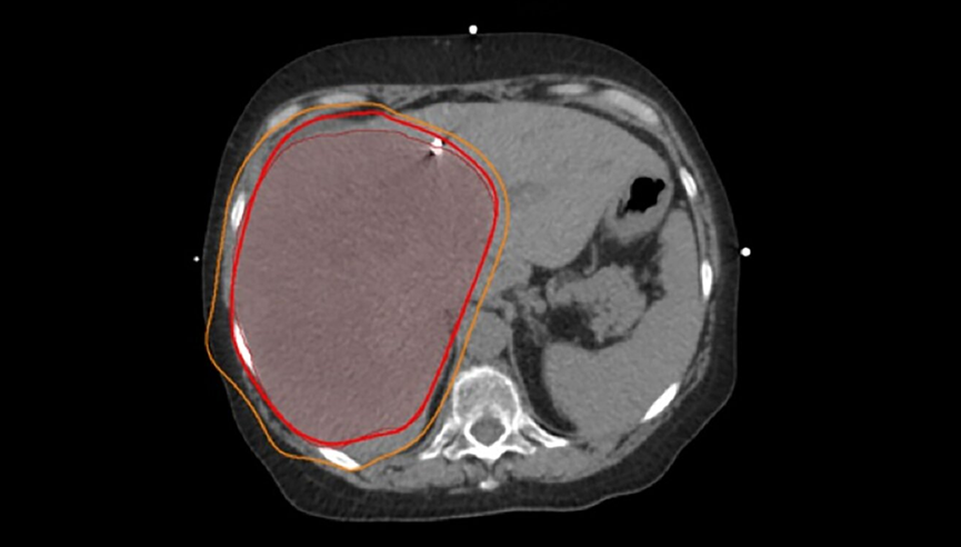
肝内胆管癌中的“巨大型肿瘤”
肝内胆管癌(发生在肝脏内部胆管的癌症)中,有一类肿瘤特别棘手,它们体积非常大,甚至超过10厘米。
过去,医生很少对这类肿瘤使用放疗,因为“不敢用”。
一方面,要想对这么大的肿瘤产生效果,就必须用很高剂量的放射线,但肝脏本身承受能力有限;另一方面,这些肿瘤往往贴着胃、肠道等重要器官,一旦误伤,后果会很严重。
也正因为这样,很多患者只能依赖化疗,而效果往往有限。
但现在,情况正在发生变化。
2
患者生存时间翻倍
在这项研究中使用的放疗,属于“高剂量消融性放疗”,我们可以简单将其理解为一种“高强度精准打击”放疗方式,它的目标不是抑制肿瘤,而是直接把肿瘤“彻底清除”(类似手术)。
在过去,想提高疗效就必须大量增加放疗剂量,但这会导致正常组织被严重损伤,因此很多时候不可行。
再加上一个当时的普遍看法:很多医生认为,这种巨大型肿瘤在“生物学特性”上可能和小肿瘤不一样,就算局部控制住了,也未必能延长寿命,所以更不愿意冒风险去做放疗。
但随着放疗技术的发展,情况发生了改变。
MD安德森是全美癌症专科排名第一的癌症中心,在这里,医生可以把放射线“雕刻”得非常精准,就像用一束可以拐弯、聚焦的光,既能集中火力打在肿瘤上,又尽量避开周围正常组织。这就让医生有能力把剂量提高到“足以消灭肿瘤”的水平,同时把副作用控制在可接受范围内。
更关键的是,这项研究还发现,这些巨大型肿瘤在分子层面和组织结构上,并没有本质上不同于小肿瘤。
这也就给了医生一个新的信心:体积大,不应该成为放疗的“禁区”。
这项研究回顾了过去约15年的患者数据,并分成了两组。
一组患者都是接受了“高剂量消融性放疗+化疗”的人,另一组只接受了化疗。
结果显示,联合治疗组患者的中位生存期为28.7个月,单纯化疗组为11.9个月,生存期直接翻倍!
不仅如此,联合治疗患者与肿瘤相关的肝功能衰竭发生率为12.1%,单纯化疗组为47.1%,同样优势明显。
在安全性方面,联合疗法让26.5%的患者出现了3级放射性肝损伤,但属于可管理范围,少数患者出现了延迟性消化道出血,同样可以治疗控制,没有其他更严重的不良反应。
如果您希望了解更多癌症等重大、复杂疾病的海外前沿研究成果、药物、疗法信息,请拨打 免费咨询电话 400-875-6700 联系我们,盛诺一家的全球就医规划师可为您提供专业的就医路径规划和全球优质医疗资源快速对接服务,包括预约国外权威专家一对一远程咨询、快速办理医疗签证前往海外权威医院就医等。
参考来源:
https://medicalxpress.com/news/2026-04-therapy-outcomes-supermassive-bile-duct.html
【盛诺一家】成立于2011年,是国内领先的海外医疗服务咨询机构,与全球近50家权威医院签署正式官方合约,其中包括:
- ★美国梅奥诊所 (Mayo Clinic) — 2014年与盛诺一家官方签约

- ★美国波士顿儿童医院 — 2016年与盛诺一家官方签约

- ★美国克利夫兰医学中心 — 2016年与盛诺一家官方签约

- ★英国皇家马斯登癌症中心 — 2017年与盛诺一家官方签约

- 更多医院合作协议详见 → 盛诺一家医院合作资质列表
👉如果您或者家人需要快速前往海外医院就医,欢迎拨打免费咨询电话 400-875-6700,或通过 盛诺一家官网 预约咨询!
本文为出国看病科普文章,内容仅供阅读参考,不作为任何疾病治疗的指导意见。文章由盛诺一家编译,版权归盛诺一家公司所有,转载或引用本网内容须注明"转自盛诺一家官网(www.stluciabj.cn)"字样。
上一篇:无
- 相关资讯
- 最新动态
红杉资本(中国)被投企业

咨询医学顾问——免费获取全球医疗评估方案!
提交成功!

出国看病费用评估